先日、当院でオフィスホワイトニングを行った患者様のご紹介です!
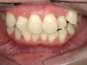
ホワイトニングを行う前のお写真がこちらです↓

全体的に歯のお色味が黄色っぽい感じで悩まれていました。
この患者様は犬歯から犬歯までの上の歯6本、下の歯6本のホワイトニングをご希望されオフィスホワイトニングを行いました(^^)/
ホワイトニング後のお写真がこちらです↓

施術後の痛みやしみもなく、全体的に白っぽくワントーン明るくなりました☆
施術時間は1時間半ほどです。
1回の施術でここまで明るくなりましたが、明るくなる程度は個人差がありますので
納得いくまで何回でも行っていただけます!

写真で比較すると一目瞭然ですね!
当院では、施術前と後のお写真を撮って最後に患者様に確認していただいております(^^)/
歯の色を明るくすることで口元に自信が持て、表情も明るくなります✨
笑った時の印象もかなり若々しいイメージになります♪
ホワイトニングの種類は歯科医院で行う『オフィスホワイトニング』、
お家で行う『ホームホワイトニング』、神経を抜いた歯に行う『ウォーキングブリーチ』の
3種類あります。
それぞれ今後ご紹介していきます!!
歯のお色味が気になる方は一度ご相談くださいね☺